Busan Seomyeon Dental Clinic — Orthodontic Specialist Care, Trusted by Patients Across Korea
Orthodontic Dental Clinic in Busan Seomyeon
Braces, Invisalign, Jaw Treatment & Implants
Board-Certified Orthodontist & Prosthodontist — Specialist-Level Dental Care in Seomyeon, Busan
- Seomyeon Sta. Exit 1 & 7 — 1-Min Walk
- Board-Certified Orthodontist
- Jaw-Considered Orthodontics — TMJ & Occlusion
- Two Specialist Departments — Orthodontics + Prosthodontics
Get Expert Dental Advice
CS Dental Hospital, Busan Seomyeon
From crooked teeth and underbite to Invisalign and dental implants — CS Dental Hospital's orthodontic specialist approach means every treatment starts with a thorough diagnosis, not a sales pitch
🩵 Schedule My Consultation
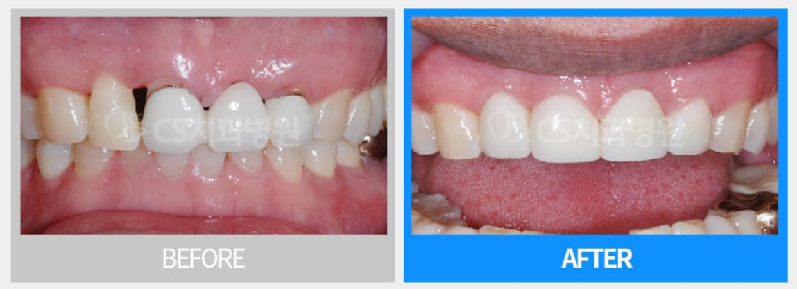
bEFORE & AFTER
"Real Patient Transformations — CS Dental Hospital Busan Before & After"


"Why Patients in Busan Choose CS Dental Hospital for Orthodontic Care"
"CS Dental is the only clinic in Busan where the orthodontist actually considers my jaw joint before recommending treatment. I didn't feel rushed or upsold — just listened to and properly examined. My alignment result has been life-changing."
01
Board-Certified Orthodontist — Specialist Credentials, Not a General Dentist Offering Braces
02
Jaw-Considered Treatment — Every Orthodontic Plan Evaluated Against TMJ & Occlusal Function
03
Two Specialist Departments — Orthodontics & Prosthodontics: Comprehensive Care in One Hospital
04
Seomyeon Location — 1-Min from Subway, Busan's Most Accessible Central Medical Area
"Are You Struggling with These Dental Concerns?"
- Visiting Busan and looking for an orthodontist who actually diagnoses your jaw structure — not just sells you the most expensive plan?
- Worried your bite or jaw pain might be linked to your teeth alignment — and no one has properly assessed it?
- Looking for Invisalign in Busan but unsure which clinic has real specialist experience?
- Have crooked, crowded, or protruding teeth that affect your confidence and daily life?
- Concerned that dental clinics will recommend unnecessary extractions or rushed treatment timelines?
"CS Dental Hospital in Busan Seomyeon combines board-certified orthodontic expertise with a jaw-first philosophy — treating every patient with specialist-level precision and long-term dental health in mind"

Expert Orthodontic Care for International Patients in Busan Seomyeon
Located 1 minute from Seomyeon Station (Lines 1 & 2, Exits 1 & 7) in central Busan, CS Dental Hospital offers internationally trusted orthodontic and dental care — with a strong emphasis on proper diagnosis, jaw-considered treatment planning, and transparent communication. International patients are treated with the same specialist standards as every patient at the clinic.
✨ What We Offer:
- Same-Visit Consultations: Orthodontic examination, Invisalign assessment, and implant consultation available in a single visit
- Specialist-Level Care: Board-certified orthodontist and prosthodontist — not general dentists performing specialty procedures
- Jaw-Considered Orthodontics: TMJ and occlusal function assessed as part of every treatment plan — a clinical standard rare in Busan
- Seomyeon Location: 1-minute walk from Seomyeon Station (Line 1 & 2, Exits 1 & 7) — accessible from Haeundae, Sasang, and all major Busan areas
- Aftercare & Remote Support:
Follow-up guidance via phone, KakaoTalk, and LINE for patients departing Busan
What Makes CS Dental Hospital Different in Busan
- Board-certified orthodontist as primary treating doctor — not delegated to assistants
- TMJ and jaw joint evaluation included in orthodontic planning — rare in Korean private clinics
- Two hospital-level departments: orthodontics + prosthodontics, enabling complex case coordination
- Transparent treatment communication — full case explanation before any commitment
- No-extraction philosophy applied where clinically appropriate — patient-first approach to alignment
Dental Treatments at CS Dental Hospital
- Orthodontics
- Condition-Specific Orthodontics
- Jaw
- Occlusion Treatment
- Implants
- Prosthodontics

Signature Treatments at
CS Dental Hospital
Orthodontics
CS Dental Hospital's flagship service — orthodontic treatment performed and supervised directly by a board-certified orthodontist. Every case is assessed for jaw joint function, facial symmetry, and occlusal fit before a treatment plan is confirmed. No delegation to general dentists or dental nurses.
Technology: Metal braces / Ceramic braces / Invisalign / Self-ligating bracket systems / Customized combination protocols
Benefits: Precise alignment outcomes / Jaw-safe treatment planning / Shorter treatment timelines where appropriate / Specialist oversight from start to finish
Jaw Joint & Occlusion
CS Dental Hospital evaluates jaw joint health and bite function as a clinical baseline for all orthodontic patients. For patients with existing TMJ symptoms — clicking, pain, headaches, or restricted opening — dedicated occlusion and splint protocols are available before or alongside orthodontic treatment.
Technology: Gothic arch examination / Occlusal splint / Bite adjustment / Combined orthodontic-occlusion approach
Benefits: Addresses root cause of jaw symptoms / Prevents relapse from untreated TMJ / Safer treatment outcomes / Unique dual-specialty coordination
Invisalign
Full Invisalign treatment supervised by a board-certified orthodontist. CS Dental Hospital does not delegate Invisalign cases to general dentists. Clear aligner treatment is case-selected with proper diagnostic imaging and jaw evaluation before treatment begins.
Technology: Invisalign / ClinCheck digital planning / Refinements included / Retainer post-treatment
Benefits: Discreet, removable alignment / Orthodontist-managed throughout / Suitable for mild to complex cases / Digital result preview available
Let’s Chat Today!
📞82-51-851-7553
English-Speaking & Foreigner-Friendly ! We’re Here for You
FAQs
What is CS Dental Hospital best known for in Busan?
A: CS Dental Hospital is Busan's specialist orthodontic clinic, known for jaw-considered treatment planning and board-certified orthodontist care. The clinic also offers prosthodontic and dental implant services under the same roof.
What orthodontic options are available?
A: CS Dental Hospital offers metal braces, ceramic braces, Invisalign clear aligners, partial orthodontics, growth-stage orthodontics for children, and facial asymmetry correction programs.
Will I need teeth extracted for orthodontic treatment?
A: Not necessarily. CS Dental Hospital applies a non-extraction approach wherever clinically appropriate. Your case will be assessed individually based on jaw structure, bite function, and alignment goals — not a standard protocol.
Does CS Dental Hospital treat international patients?
A: Yes. CS Dental Hospital welcomes international patients. We recommend contacting us in advance via phone, KakaoTalk, or LINE to arrange your consultation and prepare relevant dental records if available.
How do I book an appointment?
A: Call 1644-1900, use the online booking link (Naver), or contact via KakaoTalk. Walk-in consultations may be available but appointments are strongly recommended for international patients.
Testimonials
"The orthodontist at CS Dental actually explained how my jaw joint would be affected by the treatment before we started. I've had consultations at three other Busan clinics and none of them mentioned this. I feel like I'm in safe hands here."
S.M. | Invisalign
Singapore
"I was nervous going to a Korean dental clinic as a foreigner, but the team was thorough and patient. My bite correction has been excellent and I can already see the difference in my jaw comfort."
T.H. | Orthodontic Treatment
United States
"As someone always short on time, I was surprised how smoothly everything went in a single visit. The doctor took time to explain my bite issues clearly before recommending a treatment plan — no pressure, just honest advice. My jaw clicking has almost completely stopped and I finally sleep without grinding. The follow-up care was thorough and I felt looked after the whole way through."
Emma Thompson
United Kingdom
"I've visited several dental clinics in Tokyo, but nothing compared to the level of care here. The orthodontic treatment plan was the most thorough I'd ever seen — full bite analysis, TMJ check, everything explained before we even started. Three visits into my Invisalign treatment and the difference is already visible. Worth every trip to Busan."
Takeshi Y.
Japan
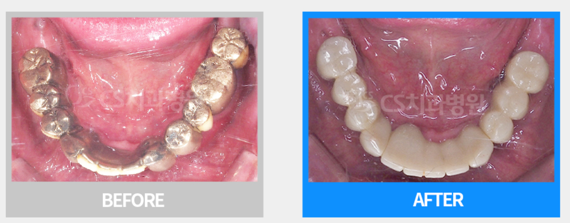
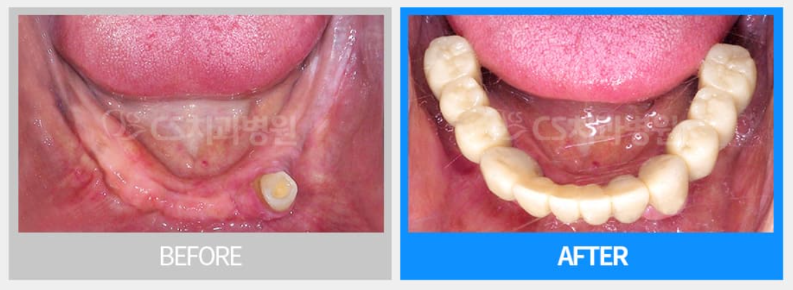
bEFORE & AFTER
"Real Transformations from Our Signature Treatments"
Our Global Services
At CS Dental Hospital, we proudly welcome international patients from around the world with a full range of services designed for global travelers and expats in Busan.
✈️ Ideal for Short-Term Visitors
- Convenient location just 1-minute walk from Seomyeon Station (Lines 1 & 2)
- Perfect for tourists, business travelers, and expats based in Busan
- Same-day consultations available — one-day implants and initial orthodontic fittings possible in a single visit
🗣️ English-Friendly & Foreigner-Welcoming
- Consultations supported in English (basic communication available)
- Multilingual support for treatment records and post-care instructions
- International-friendly payment options (major credit cards accepted)
🦷 Specialist-Level Care for Every Case
- Board-certified orthodontist and prosthodontist on staff — not general dentists
- Customized treatment protocols based on your timeline, jaw structure, and dental history
- TMJ and bite function assessed before any orthodontic or implant treatment begins
🧳 Travel-Smart Dental Care
- Express consultation and diagnostic plans for patients on tight schedules
- Written English aftercare instructions provided for home recovery
- Implant and Invisalign cases designed with international follow-up coordination in mind
Ready for a Healthier, Confident Smile?
Book Your Personalized Consultation in Busan Today
Achieve your best smile yet with specialist care from one of Busan's leading dental hospitals.
From orthodontics and Invisalign to dental implants and TMJ treatment, our board-certified team provides precise, effective care tailored to your case and timeline.
Need assistance in English?
Our friendly staff will guide you every step of the way.
Fill out the quick form below — we'll get back to you within 24 hours.
OUR TREATMENTS
Orthodontics
- Metal braces — full-arch correction
- Ceramic / aesthetic braces
- Invisalign — clear aligner treatment
- Partial orthodontics (front teeth alignment)
- Growth-stage orthodontics (children & adolescents)
- Non-extraction orthodontics
- Facial asymmetry correction
- Chin & jaw projection orthodontics
Condition-Specific Orthodontics
- Crowding & irregular teeth
- Protruding teeth
- Open bite & deep bite
- Crossbite & asymmetric bite
- Underbite & prognathism
- Widely spaced teeth
Jaw & Occlusion Treatment
- TMJ (temporomandibular joint) treatment
- Bite & occlusion correction
- Gothic arch examination
- Splint therapy
Implants & Prosthodontics
- Single dental implants
- Full-arch implant cases
- Crown & bridge restoration
- Bite rehabilitation
Our Doctors

Dr. Jeon Hyun-jun
Co-Director — CS Dental Hospital, Busan
- Full Member, Korean Association of Orthodontists
- Certified Invisalign Provider
- Ph.D., Department of Oral & Maxillofacial Surgery, Pusan National University
- M.S., Department of Oral & Maxillofacial Surgery, Pusan National University
- Clinical Instructor, Pusan National University Dental Hospital, Oral & Maxillofacial Surgery
- Full Member, Korean Association of Maxillofacial Plastic and Reconstructive Surgeons
- Full Member, Korean Academy of TMJ & Occlusion
- Executive Director, Korean Academy of Digital Dentistry
- Full Member, Korean Academy of Prosthodontics
- Academic Committee Member, Busan Dental Association
- Completion of Multiple Swedish Brånemark Implant Courses
- Full Member, Korean Academy of Osseointegration

Dr. Kim Seong-uk
Co-Director — CS Dental Hospital, Busan
- Graduate, Pusan National University School of Dentistry
- Full Member, Korean Academy of Prosthodontics
- Full Member, Korean Academy of Digital Dentistry
- Full Member, Dawson Academy of Occlusion
- Completion of UPENN Endo Course
- Completion of AIC Implant Course
- Completion of Cheongchuleoram Orthodontics Seminar
- Completion of Various Additional Continuing Education Courses
Our Facilities
CS Dental Hospital is housed in a dedicated clinic facility in the heart of Busan Seomyeon,
just one minute from Seomyeon Station.
Our space is designed to provide a premium and comfortable experience from the moment you arrive — with separate consultation rooms, a dedicated orthodontic floor, and a fully equipped implant surgical suite.
Each area is purpose-built for its specialty, creating a seamless and professional environment for every patient, from initial consultation through to final treatment.
Operating Hours
Orthodontics
- Mon & Fri 10:00–19:00
- Tue & Wed 09:30–18:30
- Thu closed
- Sat 09:30–17:30 (Lunch: 13:00–14:00)
Prosthodontics
- Weekdays 09:30–18:30
- Sat 09:30–13:00
- Closed Sundays & Public Holidays (Lunch: 13:00–14:00)
Appointment Inquiries:
📞
+82-51-851-7553
Address :
- 3F, 15 Seomyeon-ro 68beon-gil, Busanjin-gu, Busan, South Korea
- Access Seomyeon Station (Lines 1 & 2) — Exits 1 & 7, 1-minute walk / Parking available in-building (tower parking, SUV not available — inquire separately)

